強心薬: 心臓の筋肉に働き、動きを盛んにさせる. 犬の薬の飲ませ方が知りたい、犬が動物病院で処方された薬を嫌がったり飲まなくて苦労している飼い主さんは多いようです。. 通常、1回程度の飲み忘れで症状が重くなることはありません。.. 獣医師の診断の下、処方された薬は毎日欠かさず飲ませてあげてください。お薬の種類にもよりますが、僧帽弁閉鎖不全症のわんちゃんに処方されるお薬は、飲み忘れがあると逆に心臓に負担をかけてしまうことがあります(><;)

飲み忘れに注意!フィラリア予防|うちの子 HAPPY PROJECT

心臓の模型 オークどうぶつ病院/オークどうぶつ病院けやき(福岡市)犬・猫・エキゾチックの診察・治療/健康診断/ペットホテル/獣医師求人情報

犬 てんかん 薬 飲み忘れ Hello Doctor
ロイヤルカナン 食事療法食 犬用 心臓サポート ウェット 缶 200g×12 9003579013434ペットゴー 2号館 ヤフー店 通販 Yahoo!ショッピング

犬 薬 飲 ませ 方

ロイヤルカナン 犬 心臓サポート1缶 200g ROYAL CANIN|ロイヤルカナン 通販

犬の心臓疾患とは?その種類と対処法、おすすめ療法食3選を紹介 PETLY
ロイヤルカナン 療法食 犬用 早期心臓サポート+関節サポート 3kg 2022020621032200772沖海ストア 通販 Yahoo!ショッピング
ロイヤルカナン 犬用 心臓サポート 1kg 価格 交渉 送料無料

セーフハートチュアブルなど犬の心臓薬を通販で格安・安全にゲット 気ままに沖縄ライフ

【楽天市場】【ヒルズ サイエンスダイエットプロ】犬用 健康ガード 腎臓・心臓 小粒 7歳~ 700g 犬 ドッグフード:ジパング

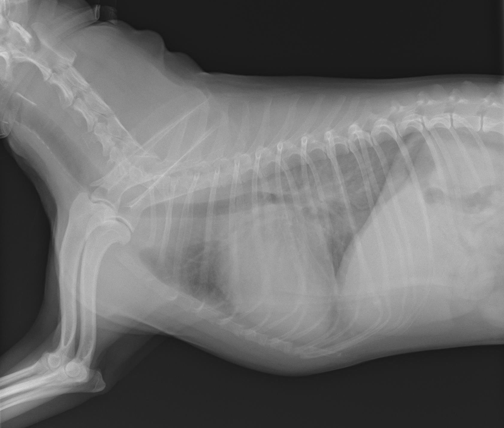
心臓の検査 市川市・浦安市の動物病院『ALL動物病院行徳』皮膚科/眼科

犬 心臓の薬を飲んで5か月良い結果 ミックス犬ショコラロール親子の癒し隊生活

犬の心臓マッサージ実践編【動画を見ながら一緒に行う】 YouTube

犬の心臓病について。 レイクサイド動物病院|静岡県浜松市にある犬猫専門の動物病院|

【解説動画付き】勝負はたったの5分!?犬の心肺蘇生法!!|ドッグライフサポーター獅子パパ|note

心臓病の薬の種類が増えた 犬とだらだら暮らす

フォルテコール 犬 猫 心臓疾患 高血圧 腎不全 治療薬 血管拡張薬 コントロール

【完全保存版】気温差のある時期に注意したい心臓発作。犬の救命救急!心肺蘇生と人工呼吸を知っておこうワンクォール

犬の心臓病~症状と対策・食事療法|いぬのきもちWEB MAGAZINE
心臓に「もっと頑張れ」というお薬です。 血液を送り出す量が増えるので、全身の状態は良くなりますが、心臓にはある程度の負担がかかります。 そのため「心臓に頑張って欲しい時に一時的に使う」という使い方が増えてきました。. 犬の心臓病への治療薬は初期段階では、血管拡張薬という血液の巡りを良くして心臓の負担を軽くする薬を使用します。 しかし、投薬を行うという事は、体に何らかの変化を与える事にもなりますので、その変化を飼い主さんはきちんと理解しておく必要が.